首页
为什么拍口腔全景拍出来是白色的
返回

为什么拍口腔全景拍出来是白色的

2023-11-02 综合百科 By:佚名
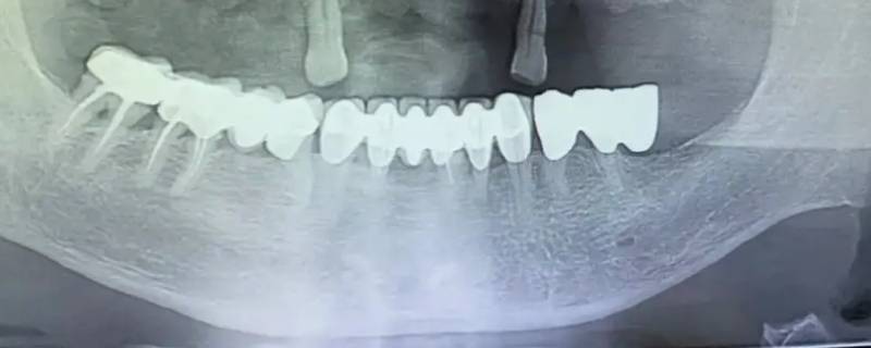
最佳答案在全景片显影中,骨骼、牙齿、补牙材料、牙冠这种组织属于高密度组织,在影像上呈现白色;像牙龈和牙髓这一类组织属于低密度组织,低厚度组织,会呈黑色或灰色。蛀牙在全景片显影上会出现黑色阴影的缺损,如果是邻面龋以及龋坏程度,通常需要到医院,医生用探针、口镜等进行确定。

在全景片显影中,骨骼、牙齿、补牙材料、牙冠这种组织属于高密度组织,在影像上呈现白色;像牙龈和牙髓这一类组织属于低密度组织,低厚度组织,会呈黑色或灰色。蛀牙在全景片显影上会出现黑色阴影的缺损,如果是邻面龋以及龋坏程度,通常需要到医院,医生用探针、口镜等进行确定。

猜你喜欢
花样家族(关于花样家族的基本详情介绍)

花样家族(关于花样家族的基本详情介绍)

01-01 0 阅读
qq自由幻想幻神在哪里买(qq自由幻想幻神技能)

qq自由幻想幻神在哪里买(qq自由幻想幻神技能)

01-02 0 阅读
车灯改装LED怎么选灯?

车灯改装LED怎么选灯?

12-03 0 阅读
神龙骑士(关于神龙骑士的基本详情介绍)

神龙骑士(关于神龙骑士的基本详情介绍)

12-31 0 阅读
李潜夫画(关于李潜夫画的简介)

李潜夫画(关于李潜夫画的简介)

12-31 0 阅读
淘宝女装导购(关于淘宝女装导购的基本详情介绍)

淘宝女装导购(关于淘宝女装导购的基本详情介绍)

01-01 0 阅读
热门推荐
花样家族(关于花样家族的基本详情介绍)

花样家族(关于花样家族的基本详情介绍)

01-01 0 阅读
qq自由幻想幻神在哪里买(qq自由幻想幻神技能)

qq自由幻想幻神在哪里买(qq自由幻想幻神技能)

01-02 0 阅读
车灯改装LED怎么选灯?

车灯改装LED怎么选灯?

12-03 0 阅读
神龙骑士(关于神龙骑士的基本详情介绍)

神龙骑士(关于神龙骑士的基本详情介绍)

12-31 0 阅读
李潜夫画(关于李潜夫画的简介)

李潜夫画(关于李潜夫画的简介)

12-31 0 阅读
淘宝女装导购(关于淘宝女装导购的基本详情介绍)

淘宝女装导购(关于淘宝女装导购的基本详情介绍)

01-01 0 阅读
上海车牌标书可以拍几次(上海车牌标书)

上海车牌标书可以拍几次(上海车牌标书)

12-30 0 阅读
假白桦树可以放门口吗

假白桦树可以放门口吗

11-03 0 阅读
大元帅府(关于大元帅府的基本详情介绍)

大元帅府(关于大元帅府的基本详情介绍)

12-31 0 阅读
于漪(关于于漪的基本详情介绍)

于漪(关于于漪的基本详情介绍)

12-30 0 阅读